Skip Navigation
본문바로가기

대한소화기학회

GNB 보기


[상부위장관] 위장관 출혈을 동반한 십이지장의 위장관기질종양
이길호 / 아주의대 아주대학교병원 소화기내과 / 2026.03.03
특이병력 없던 49세 남자가 일주일간의 흑색변과 노작성 호흡곤란 증상으로 응급실에 내원하였습니다. 이전 혈액검사 결과는 확인할 수 없었지만 혈색소가 7.5 g/dL로 감소되어 있었고 상부위장관 출혈이 의심되어 상부위장관내시경을 시행하였습니다. 상부위장관내시경상 급성 출혈 소견은 보이지 않았지만 십이지장 제2부에 점막하조직이 노출된 상피하병변이 관찰되었고 바터팽대부와의 위치관계를 파악하기 위해 시행한 측시경상 병변은 바터팽대부에서 2~3cm 정도 떨어진 원위부에 위치하는 것으로 확인되었습니다. [그림1]

[그림1] 상부위장관내시경상 십이지장 제2부에 궤양을 동반한 십이지장 상피하병변이 관찰됨.


조직검사 결과 위장관기질종양(Gastrointestinal stromal tumor, GIST)으로 진단되었고 전이평가등을 위한 복부 전산화단층촬영상 28mm 크기의 조영증강이 잘 되는 종괴가 십이지장 제2부에서 확인되었으며 림프절이나 타 장기 전이 의심소견은 없었습니다. [그림2]

[그림2] 복부 전산화단층촬영상 십이지장 제2부의 조영증강이 잘 되는 종괴가 관찰됨.


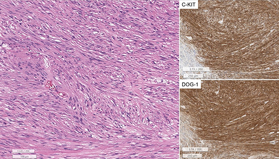
상부위장관의 다른 곳에는 출혈을 일으킬만한 병소가 없었기 때문에 십이지장의 위장관기질종양에서 출혈이 반복되었을 가능성이 높다고 판단되어 외과에 수술 의뢰하였고 십이지장의 분절절제술을 시행하였습니다. 최종 조직검사 결과 2.7cm의 위장관기질종양으로 확인되었습니다. [그림3]

[그림3] 수술 후 병리 소견


Gastrointestinal stromal tumor
1) Tumor location: duodenum
2) Tumor size: 2.7x2.3x2.2cm (T2)
3) Histologic type: spindle
4) Mitosis: low mitotic rate (≤5)
5) Necrosis: absent
6) Cellular atypia: mild
7) Lymphovascular invasion: absent
8) Prognostic group (based on 2019 WHO 5th Edition): 2
9) Resection margin: negative (safety margin: proximal: 0.3cm, distal: 1.4cm)
10) Immunohistochemistry: C-kit(+), CD34(+), DOG-1(+), S-100(-)
PHH3(highlight mitotic figures), SDHB(no loss), Actin(+)

 

 

수술 후 환자의 증상은 호전되었으며 혈색소 수치도 정상화 되었습니다. 또한 보조 항암요법이 필요한 고위험의 GIST가 아니라고 판단하여 추적 관찰 중에 있습니다.

● 질문: 십이지장 상피하병변의 조직검사에서 상피하조직이 얻어지지 않을 경우 어떻게 해야 하나요?

● 해설: 미국 종합 암 네트워크(National Comprehensive Cancer, Network, NCCN) 지침에서는 GIST의 조직검사 원칙으로서 경피적 경복막 조직검사(Percutaneous transperitoneal biopsy) 보다는 내시경을 통한 횡단면 생검(Endoscopic transmural biopsy)이 선호되고 이는 복막 파종의 위험 때문인 것으로 보고하고 있습니다. 본 증례의 경우에서도 생검겸자를 이용한 조직검사에서 진단이 이루어지지 않았을 경우 내시경 초음파 유도하 세침흡인 검사 또는 내시경 초음파 유도하 세침생검이 고려되었겠지만, 상피하조직이 노출되어 있었기 때문에 생검겸자를 이용한 조직검사만으로도 진단이 되었습니다.

● 질문: GIST를 절제할 때 내시경적 절제술과 외과적 절제술 중 어떤 방법이 선호되나요?

● 해설: 미국소화기학회와 유럽내시경학회의 진료지침에서는 GIST의 위치, 크기 등 여러 요소에 따라 내시경적 절제술을 어떤 경우에 고려할 수 있는지 권고하고 있습니다. 미국소화기학회 진료지침에서는 십이지장 GIST에 대해 별도의 지침을 제시하지 않았고, 유럽내시경학회 진료지침의 경우 십이지장의 GIST에 대해서는 아직은 내시경적 절제술을 권장하고 있지 않습니다. 하지만 내시경적 전층 절제술 (Endoscopic full thickness resection, EFTR) 방법등을 이용한 내시경 절제가 좋은 결과를 보였음을 인용하였고, 향후 연구에 따라 치료 방법으로서 고려될 수 있겠습니다. 본 증례는 십이지장에 위치한 GIST인데다가 내시경으로 관찰되는 크기와 CT에서 확인되는 크기가 매우 달라 외성장(exophyte)하는 병변일 가능성이 높다고 판단하여 수술을 의뢰하였습니다.

 

Key Messages
1. 궤양을 동반한 상피하병변도 임상적으로 유의한 위장관 출혈의 원인이 될 수 있다.
2. 상피하병변의 절제가 필요한 경우 병변의 위치, 크기등 여러 요소에 따라 외과적 절제 외에도 내시경적 절제술을 고려해 볼 수 있다.

References
1. National Comprehensive Cancer Network. Gastrointestinal Stromal Tumors (Version 1.2026). 2026.
2. Deprez PH, Moons LMG, O'Toole D, Gincul R, Seicean A, Pimentel-Nunes P, et al. Endoscopic management of subepithelial lesions including neuroendocrine neoplasms: European Society of Gastrointestinal Endoscopy (ESGE) Guideline. Endoscopy. 2022 Apr;54(4):412-29.
3. Jacobson BC, Bhatt A, Greer KB, Lee LS, Park WG, Sauer BG, Shami VM. ACG Clinical Guideline: Diagnosis and Management of Gastrointestinal Subepithelial Lesions. Am J Gastroenterol. 2023 Jan 1;118(1):46-58.

TOP

Copyright© The Korean Society of Gastroenterology. All Rights Reserved.

06193 서울특별시 강남구 선릉로86길 31, 305호 (대치동, 롯데골드로즈빌Ⅱ)