Skip Navigation
본문바로가기

대한소화기학회

GNB 보기


[간] 간농양의 다양한 병인
윤재현 / 전남대학교병원 소화기내과 / 2026.01.02

 


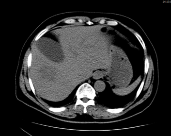
[그림 1] 간 우엽에 저음영 병변


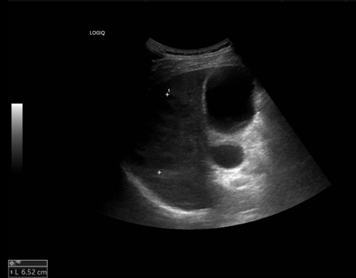
[그림 2] 간우엽에 6.5cm의 저에코성 병변


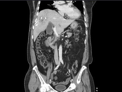
환자의 임상 증세를 고려하였을 때 화농성 간농양(pyogenic liver abscess)으로 판단되었으며, 경피적 배액술과 경험적 항생제 (3세대 세팔로스포린계열) 치료를 시작하였다. 이후 임상 경과는 점진적으로 호전되었으나, 추적검사로 상태 안정된 후 조영제를 사용한 역동정 조영증강 CT 검사에서 총담관 확장 소견이 동반되어 [그림3] 추가적인 원인 평가를 시행하였다.


[그림 3] 원위부 담도의 확장 소견


측시(side-view) 내시경 검사에서 Vater 팽대부 부위 종괴가 확인되었고 [그림4], 조직 검사 결과 선암종(adenocarcinoma)으로 확진되어 Vater 팽대부암으로 최종 진단되었다. 본 증례는 간농양을 초기 임상 증상으로 하여 기저 악성종양이 진단된 경우로, 감염성 질환의 원인 평가에서 위장관 악성종양의 중요성을 시사하는 임상적으로 의미 있는 사례이다.


[그림 4] Vater 팽대부 내시경 소견


● 질문: 내간농양환자에서 원인에 대한 평가를 위해 무엇을 고려할 수 있나요?


● 해설: 호간농양(liver abscess)은 간 실질 내에 세균, 기생충 또는 진균 감염에 의해 국소적인 화농성 병변이 형성되는 질환으로, 임상적으로는 발열, 복통, 간기능 이상 및 패혈증을 동반할 수 있는 잠재적으로 치명적인 감염 질환이다. 현재 대부분의 간농양은 화농성 간농양(pyogenic liver abscess)으로, 담도계 감염, 문맥혈행성 전파, 전신 균혈증 또는 인접 장기의 직접 침윤을 통해 발생하는 것으로 알려져 있다. 주요 위험인자로는 당뇨병, 고령, 담도질환, 면역저하 상태, 간경변증 및 악성종양 등이 있으며, 특히 악성종양은 간농양 발생의 중요한 기저 질환으로 인식되고 있다.
대장암은 종양에 의한 장 점막 장벽 손상과 미세천공을 통해 장내 세균이 문맥 혈류를 통해 간으로 전파되면서 간농양을 유발할 수 있으며, 담관암은 종양에 의한 담도 폐쇄와 담즙 정체로 인한 상행성 담관염을 통해 이차적인 간농양 발생과 연관된다. Vater 팽대부암(Ampulla of Vater cancer)은 총담관 원위부 폐쇄를 유발하여 반복적인 담즙 정체와 담관염을 일으킬 수 있으며, 이러한 병태생리를 통해 간농양이 초기 임상 양상으로 발현되는 경우도 보고되고 있다.
그러나 실제 임상에서는 간농양이 단순한 감염 질환으로 인식되어 항생제 치료에만 집중되고, 기저 악성종양에 대한 충분한 원인 평가가 이루어지지 않는 경우도 적지 않다. 이에 본 증례에서는 간농양으로 입원 치료 중 Vater 팽대부암이 진단된 사례를 보고함으로써, 간농양 환자에서 위장관 악성종양에 대한 적극적인 감별 진단의 중요성을 강조하고자 한다.

TOP

Copyright© The Korean Society of Gastroenterology. All Rights Reserved.

06193 서울특별시 강남구 선릉로86길 31, 305호 (대치동, 롯데골드로즈빌Ⅱ)