알려진 기저질환력 없는 45세 남자가 토혈을 주소로 응급실로 내원하였습니다. 환자 는 내원 전날 밤 semaglutide를 피하 주사하였습니다. 이후 내원 일 오전 10시부터 구역, 구토 지속되었으며, 3~4회, 각회 종이컵 1개 가량의 토혈을 내원일 오후에 하 여 내원하였습니다.
내원시 혈압 74/50 mmHg, 심박수 122회/분, 체온 섭씨 37.0도 확인되었고, 의식수준 은 명료하였습니다. 수액 치료 후 혈압 116/75 mmHg, 심박수 88회/분으로 회복되었 습니다. 혈액검사상 혈색소 14.3 g/dl, 혈중요소질소 13.6 mg/dl 크레아티닌 1.09 mg/dl 확인되었습니다. 이에 상부위장관내시경을 시행하였습니다. [그림1]
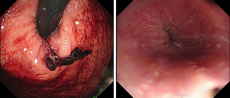
[그림 1] 상부위장관내시경상 위식도접합부의 궤양양 병변과 출혈이 확인됨.

이에 출혈성 병변에 대해 Hemoclip을 이용한 내시경적 지혈술을 시행하였습니다. [그 림2]
[그림 2] 내시경적 지혈술을 시행한 후의 사진

이후 환자 혈압 121/78 mmHg, 심박수 88회/분으로 안정 상태 유지되고, 흉부 방사 선상 천공 의심 소견 없어,[그림3] 위산억제제 포함한 약제 처방받아 귀가하였습니다.
[그림3] 단순흉부방사선 소견
● 질문: Semaglutide (GLP-1 receptor agonist)의 사용이 Mallory-Weiss syndrome 발생과 어떤 연관이 있나요?
● 해설: Semaglutide와 같은 GLP-1 수용체 작용제는 위장관 운동을 지연시키고 중 추신경계에 작용하여 오심과 구토를 유발할 수 있는 것으로 추정되나, 기전은 아직 명확하지 않습니다 (1). semaglutide의 제3a 임상시험(4건 2,650명)에서 오심은 43.9%, 구토는 24.5%에서 발생하였습니다. 본 증례의 환자 역시 semaglutide 투여 후 발생 한 심한 구토가 토혈의 직접적인 원인으로 작용했을 가능성이 매우 높습니다. 그러대한소화기학회 교육자료
나, 최근의 메타분석에서 GLP-1 receptor agonist 사용에 따른 Mallory-Weiss syndrome의 위험성을 평가하였을 때, 통계적 유의성은 확인되지 않았습니다. (Relative risk 2.85 (95% confidential interval 0.43-18.71, p=0.276) (2).
● 질문: Mallory-Weiss syndrome으로 인한 출혈 시 내시경적 지혈술의 적응증은 무 엇이며, 어떤 경우에 보존적 치료를 고려할 수 있나요?
● 해설: Mallory-Weiss syndrome으로 인한 출혈은 약 80-90%에서 자연적으로 멈춥 니다. 따라서 활동성 출혈의 징후가 없는 안정적인 환자는 위산분비억제제, prokinetics 투여 및 보존적 치료를 우선적으로 고려할 수 있습니다. 하지만 내시경 검사에서 활동성 출혈이 관찰되거나, 노출 혈관과 같은 재출혈 위험이 높은 소견이 보일 경우 내시경적 지혈술이 반드시 필요합니다 (3). 본 증례는 내원 당시 저혈압과 빈맥 등 혈역학적으로 불안정하였고, 내시경에서 활동성 출혈이 확인되어 즉각적인 지혈술을 시행한 경우에 해당합니다.
Key Messages
1. 최근 비만, 당뇨병 치료제로 사용이 급증하고 있는 GLP-1 수용체 작용제는 심한 구 역과 구토를 유발하여 Mallory-Weiss syndrome과 같은 상부위장관 출혈의 원인이 될 수 있습니다.
2. Mallory-Weiss syndrome은 대부분 보존적 치료로 호전되지만, 본 증례와 같이 활동 성 출혈이 있는 경우 신속한 내시경적 지혈술이 필수적입니다.
References
1. Filippatos TD, Panagiotopoulou TV, Elisaf MS. Adverse effects of GLP-1 receptor agonists. Rev Diabet Stud. 2014;11(3-4):202-230. doi:10.1900/RDS.2014.11.202
2. Wang YW, Lin JH, Yang CS. Meta-analysis of the association between new hypoglycemic agents and digestive diseases. Medicine 101(34):p e30072, August 26, 2022. | DOI: 10.1097/MD.0000000000030072
3. Kim JS, Kim B, Kim DH, Park CH, Lee H, Joo MK, Jung DH, Chung J, Choi HS, Baik GH, Lee JH, Song KY, Hur S. Guidelines for Non-variceal Upper Gastrointestinal Bleeding. Korean J Gastroenterol 2020;75:322-332. https://doi.org/10.4166/kjg.2020.75.6.322