45세 여자가 간기능 이상으로 내원하였습니다. 음주력과 건강식품 복용력은 없었습니다. 혈액검사와 복부 초음파 소견은 아래와 같았습니다. [그림 1]
[혈액검사]
Hb 12.5 g/dL, WBC 4,250/mm3, platelet 217,000/mm3
aspartate aminotransferase (AST) 145 IU/L, alanine aminotransferase (ALT) 214 IU/L
total bilirubin 0.6 mg/dL, albumin 3.9 g/dL, prothrombin time (INR) 1.02
alkaline phosphatase (ALP) 96 IU/L, gamma-glutamyl transpeptidase (GGT) 62 IU/L
blood urea nitrogen (BUN) 13.6 mg/dL, creatinine 0.65 mg/dL,
HBsAg (-), HBsAb (-), HBcAb (-), HCV Ab (-)
Antinuclear antibody 1:640, Anti-smooth muscle antibody [anti-SMA] (-)
Anti-mitochondrial antibody (-), Anti-liver kidney microsome type 1 [anti-LKM-1] (-)
Anti-soluble liver antigen [anti-SLA] (-), Anti-liver cytosol type 1 [anti-LC1] (-)
IgG 2,220 mg/dL, IgA 412 mg/dL, IgM 78.2 mg/dL
[그림 1] 복부 초음파 검사

Parenchymal coarseness, mild
● 질문: 다음으로 시행해야 하는 검사는 무엇인가요?
● 해설: 자가면역간염은 특징적인 임상 및 검사 소견(혈청 aspartate aminotransferase [AST], alanine aminotransferase [ALT] 및 IgG 상승), 대표적인 자가항체의 존재, 그리고 합당한 간조직 소견을 근거로 진단합니다. 자가면역간염에는 특이적인 단일 진단 표지자가 없으므로, 일반적으로 다른 원인의 만성 간질환(바이러스 간염, 알코올성 간질환, 비알코올성 지방간질환, 약인성 간손상, 윌슨병, 유전성 혈색소 침착증 등)을 배제해야 합니다. 간조직 검사는 자가면역간염의 진단에 핵심적인 역할을 하며, 일부에서는 임상 및 혈청학적 소견이 충분히 전형적일 경우 조직검사가 필요하지 않을 수도 있다는 의견도 있습니다. 그러나 다른 간질환과의 감별 및 중복증후군 여부를 확인하기 위해서는 조직학적 소견이 필수적이라는 것이 일반적인 견해이며, 따라서 금기가 없는 한 조직검사는 반드시 시행되어야 합니다.
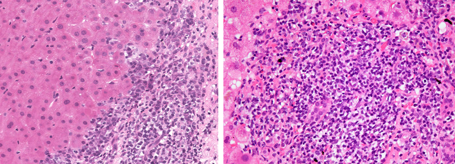
간조직검사를 시행하였으며, 결과는 아래와 같습니다. [그림 2]
[그림 2] 간조직검사

Interface hepatitis, portal inflammation, and scattered plasma cells
● 질문: 이 환자의 진단은 무엇인가요?
● 해설: 자가면역간염의 진단은 전형적인 경우에는 비교적 명확하지만, 비전형적인 사례에서는 진단이 어려울 수 있습니다. 이러한 경우 진단을 보조하고, 또한 진단을 정량화하여 객관적인 비교가 가능하도록 1993년 국제 자가면역간염 그룹(International Autoimmune Hepatitis Group, IAIHG)에서 진단 점수 체계(diagnostic scoring system)를 고안하였으며, 1999년에는 개정 진단 점수 체계(revised original scoring system)가 발표되었습니다. 이후 2008년에는 보다 간편하게 활용할 수 있는 간소화 진단 점수 체계(simplified scoring system)도 개발되었습니다(Table 3, 4) [그림 3]. 국내에서도 현재 개정 진단 점수 체계와 간소화 진단 점수 체계를 진단에 활용하고 있습니다.
[그림 3] 간소화된 자가면역간염 진단 점수 체계

이 환자의 경우 간소화된 진단 점수 체계를 적용하였을 때 8점으로 Definite Autoimmune hepatitis 진단을 내릴 수 있습니다.
● 질문: 이 환자는 어떤 치료를 해야 하나요?
● 해설: 자가면역간염 치료의 목표는 약물로 인한 부작용을 최소화하면서 간의 염증 반응을 효과적으로 억제하고 관해(remission)를 달성하여 간질환의 진행을 막는 데 있습니다. 이를 위해 대부분의 환자에서는 관해 유도 후 장기간, 경우에 따라서는 평생에 걸친 유지요법이 필요합니다. 성인 환자에서 관해 유도를 위해 일반적으로 프레드니솔론(prednisolone) 20~40 mg과 아자티오프린(azathioprine) 50~150 mg을 병합 투여하거나, 프레드니솔론 40~60 mg 단독 요법을 사용합니다. 프레드니솔론과 아자티오프린 병합 요법은 프레드니솔론 단독요법과 효능은 유사하나 부작용 측면에서 이득이 있어 1차 치료로 더 선호됩니다. 그러나 자가면역간염 유사 약인성 간손상과 같이 전체 치료 기간이 6개월 미만으로 짧을 것으로 예상되는 경우, 혹은 아자티오프린의 금기가 있는 경우에는 프레드니솔론 단독요법이 권고됩니다. 아자티오프린을 투여하는 동안 백혈구감소증이나 혈소판감소증이 발생할 경우에는 용량을 감량하거나 중단해야 하며, 특히 혈구감소증이 1~2주 이내에 회복되지 않는다면 아자티오프린을 중단해야 합니다. 프레드니솔론을 하루 10 mg을 초과하여 장기간 투여할 경우 스테로이드 관련 부작용이 흔히 나타날 수 있으므로, 생화학적 반응을 유지할 수 있는 최소 용량을 사용하되 가능하다면 10 mg/일 이하로 유지하는 것이 좋습니다.
Key Messages
1. 자가면역간염은 다른 원인에 의한 간손상을 배제한 후, 혈액검사 소견(상승된 혈청 AST, ALT 및/또는 IgG), 자가항체, 간조직 소견 등을 종합하여 진단합니다.
2. 자가면역간염이 의심되는 경우에는 ANA와 SMA를 선별 검사로 시행하며, 진단 시 개정 진단 점수 체계와 간소화 진단 점수 체계를 활용할 수 있습니다.
3. 자가면역간염의 1차 치료는 프레드니솔론과 아자티오프린의 병합 투여 또는 프레드니솔론 단독 투여를 권고합니다.
References
1. Korean Association for the Study of the Liver (KASL). KASL clinical practice guidelines for management of autoimmune hepatitis 2022. Clin Mol Hepatol. 2023 Jul;29(3):542-592.
2. Mack CL, Adams D, Assis DN, Kerkar N, Manns MP, Mayo MJ, et al. Diagnosis and management of autoimmune hepatitis in adults and children: 2019 practice guidance and guidelines from the American Association for the Study of Liver Diseases. Hepatology 2020;72:671-722.
3. Hennes EM, Zeniya M, Czaja AJ, Pares A, Dalekos GN, Krawitt EL, et al. Simplified criteria for the diagnosis of autoimmune hepatitis. Hepatology 2008;48:169-176.
4. Alvarez F, Berg PA, Bianchi FB, Bianchi L, Burroughs AK, Cancado EL, et al. International autoimmune hepatitis group report: review of criteria for diagnosis of autoimmune hepatitis. J Hepatol 1999;31:929-938.4
5. Soloway RD, Summerskill WH, Baggenstoss AH, Geall MG, Gitnick GL, Elveback IR, et al. Clinical, biochemical, and histological remission of severe chronic active liver disease: a controlled study of treatments and early prognosis. Gastroenterology 1972;63:820-833.